Dentist Office in Amityville, NY
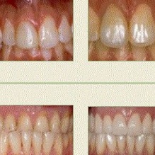
Photo Gallery
|
|
Amityville Dental
| Focus Keyword for your Business/Listing | Cosmetic Dentistry, Family Dentist, Dental Emergencies |